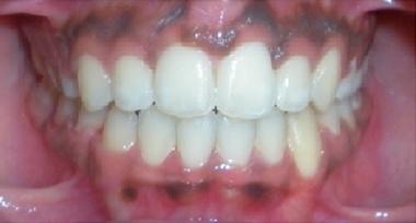
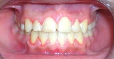
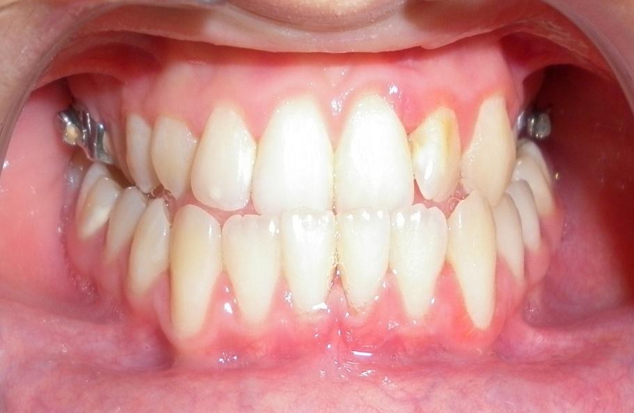
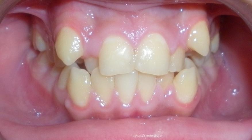
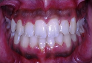
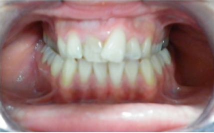
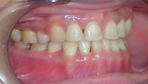
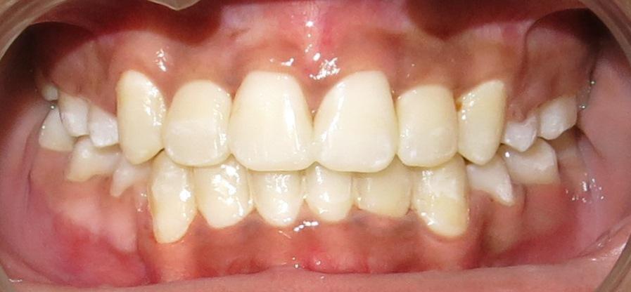
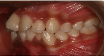
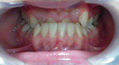
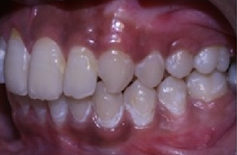
Age : 11 yrs
Complaint : Backwardly placed front upper teeth.
Treatment time : 1 year 3 months
Non extraction
Anterior crossbite corrected with growth modulation and braces
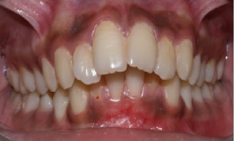
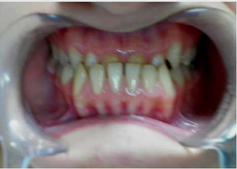
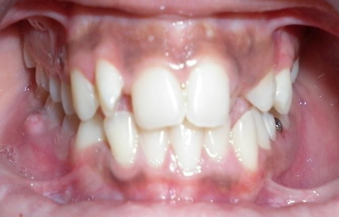
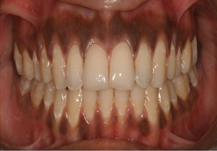
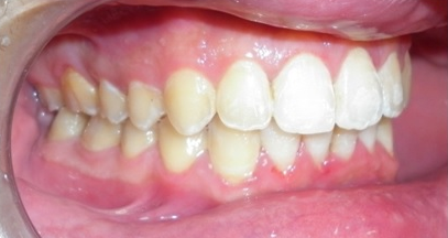
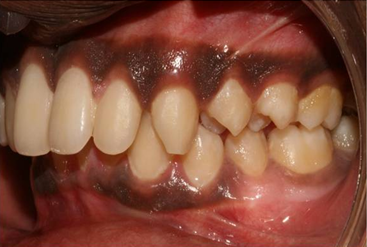
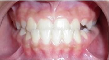
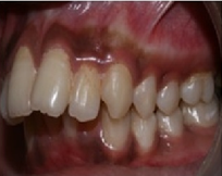
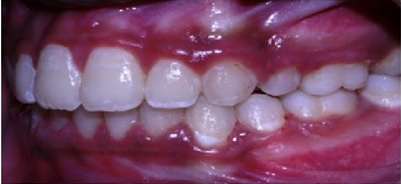
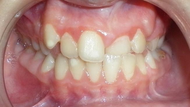
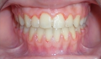
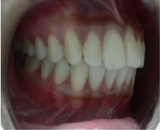
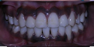
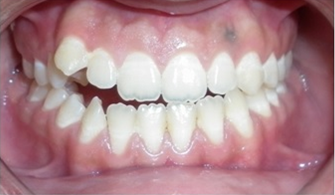
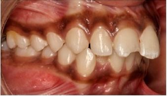
Age : 13 yrs
Complaint : Anterior crossbite ,
skeletal malocclusion
Treatment time : 14 months
Non-Extraction
Growth modification + Fixed orthodontic appliances.
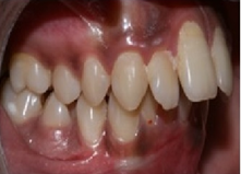
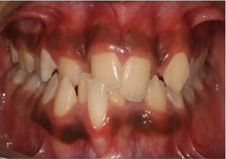
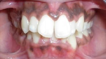
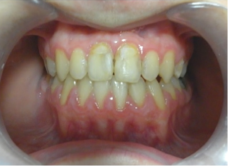
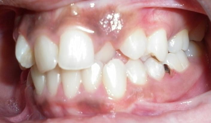
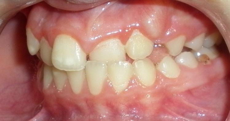
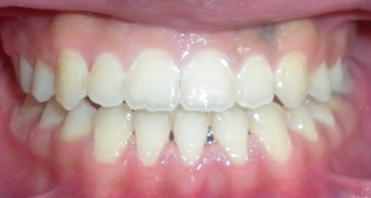
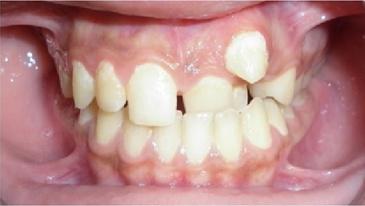
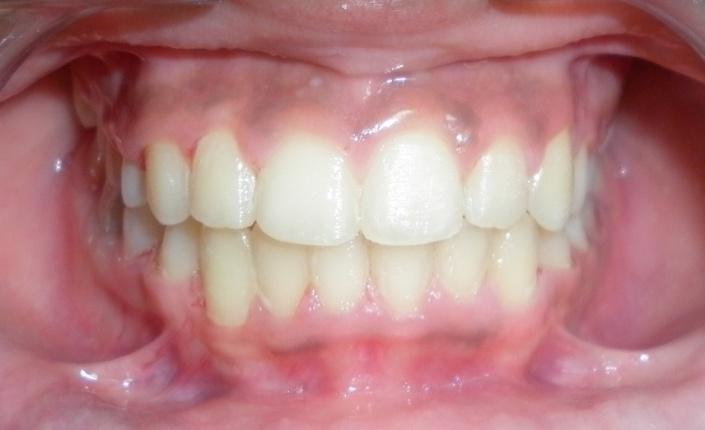
Age : 18 yrs
Complaint : Irregular front teeth and crossbite of left upper canine.
Leveling and aligning, Correction of crossbite. Non-Extraction
Treatment time : 1 year 3 months
Corrected with Fixed appliance (braces)
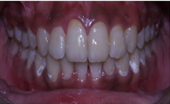
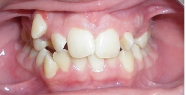
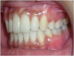
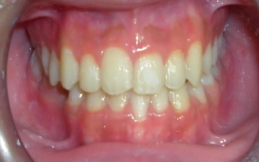
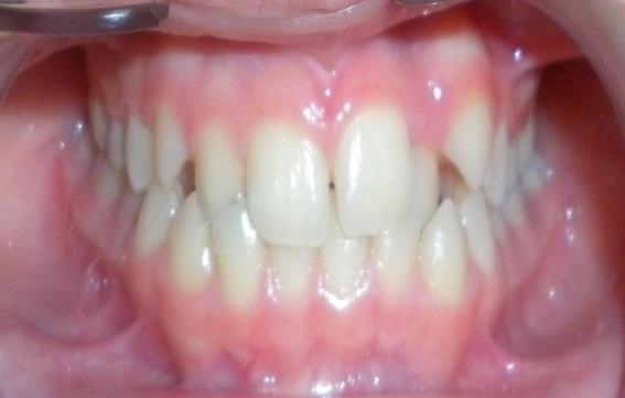
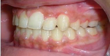
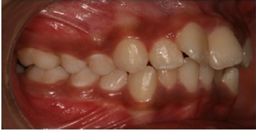
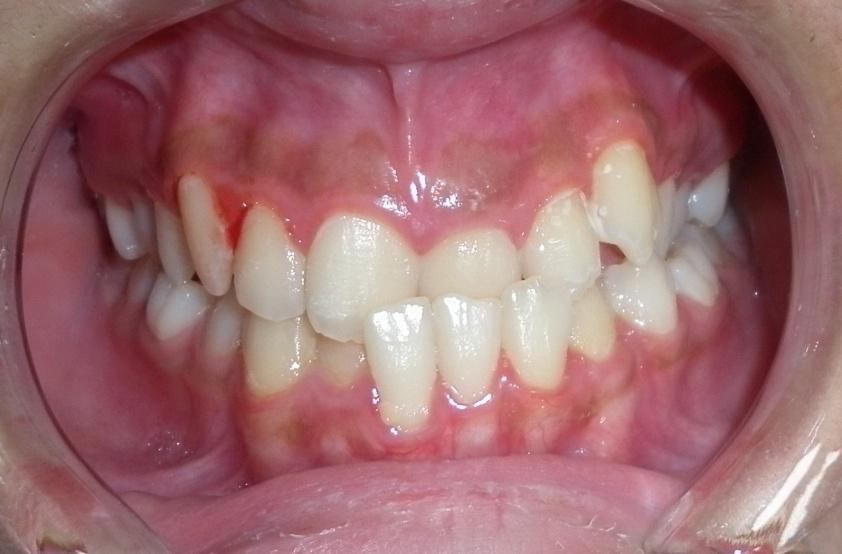
Age : 17 yrs
Complaint : Irregular front teeth and crossbite of left upper canine.
Leveling and aligning, Correction of crossbite. Non-Extraction
Treatment time : 1 year 1 month
Corrected with Fixed appliance (braces)
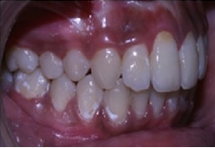
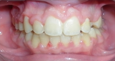
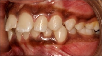
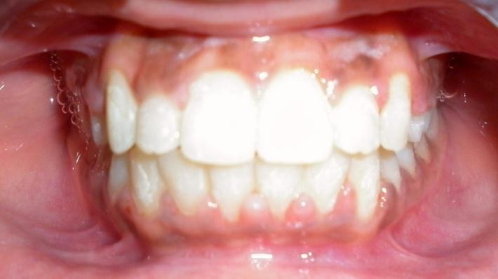
Age : 15 yrs
Complaint: Anterior and posterior crossbite.
Aligning and crossbite correction. Lower single Incisor Extraction Treatment time : 1 year and 3 months Corrected with Fixed appliance (braces)
Age : 21 yrs
Complaint : Irregular front teeth.
Treatment time : 1 year 3months
Non-extraction
Corrected with Fixed appliance (braces)
Age : 19 yrs
Complaint : Anterior crossbite , skeletal malocclusion
Treatment time : 14 months
Not Interested in surgical treatment
Camoflauge done with lower single incisor extraction
Age : 19 yrs
Complaint : Irregular front teeth and cross bites .
Aligning and crossbite correction.
Non-Extraction
Treatment time : 1 year 1months
Corrected with Fixed appliance (braces)
Age : 24 yrs
Complaint : Irregular front teeth and posterior crossbite
Non Extraction
Levelling and aligning + Crossbite correction done
Age : 32 yrs
Complaint : Irregular front teeth and anterior crossbite
Treatment time : 1 year 3months
Non Extraction
Levelling and aligning + Correction of crossbite
Age : 18 yrs
Complaint : Irregular front teeth and crossbite.
Aligning and crossbite correction.
Non-Extraction
Treatment time : 1 year
Corrected with Fixed appliance (braces)
Age : 21 yrs
Complaint : Anterior crossbite , skeletal malocclusion
Treatment time : 14 months
Not Interested in surgical treatment
Camoflauge opted
Non-Extraction
Age : 21 yrs
Complaint : Skeletal Class III Anterior cross bite.
Not interested in Surgical option Crossbite correction. Non-Extraction Treatment time : 1 year and 3months. Corrected with Fixed appliance (braces)
Age : 18 yrs
Complaint : Irregular back teeth and unable to chew properly.
Treatment time : 1 year
Non-Extraction
Corrected with Fixed appliance (braces)
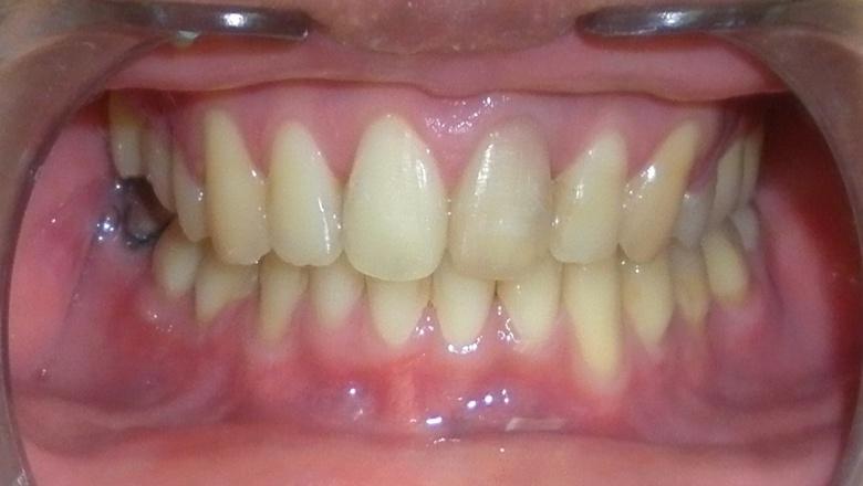
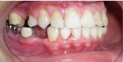
Age : 42 yrs
Complaint : Right upper molar in cross bite and deepbite
Treatment time : 1 year
Molar crossbite corrected and anterior bite opening done
Age : 21 yrs
Complaint : Anterior crossbite.
Crossbite correction.
Lower single Incisor Extraction
Treatment time : 1 year and 3months.
Corrected with Fixed appliance (braces)
Age : 15 yrs
Complaint : Irregular front teeth.
Treatment time : 1 year 2months
Non-extraction
Corrected with Fixed appliance (braces)
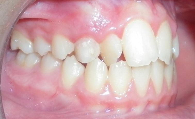
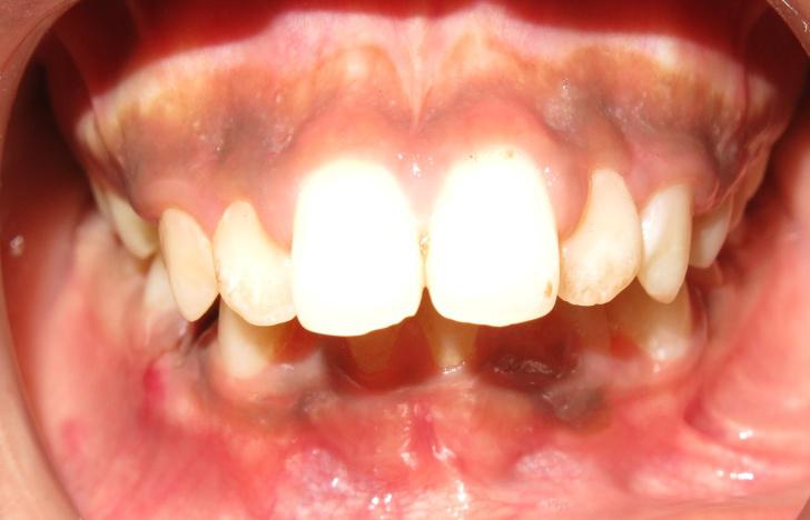
Age : 13 yrs
Complaint : Retained right upper decidious canine, Irregular front teeth and crossbite of left upper lateral incisor.
Leveling and aligning, Correction of crossbite. Non-Extraction
Treatment time : 1 year 3 months
Corrected with Fixed appliance (braces)
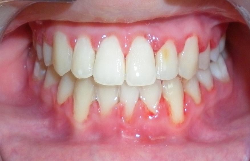
Age : 21 yrs
Complaint : complains of irregular upper front teeth with crossbite of upper lateral
Levelling and aligning
Treatment time : 1 year
Non-Extraction
Corrected with Fixed appliance (braces)
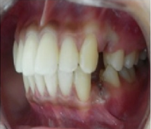
Age : 14 yrs
Complaint : Irregular front teeth and anterior crossbite
Treatment time : 1 year
Levelling and Aligning done and crossbites corrected.
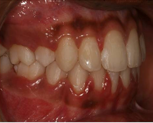
Age : 28 yrs
Complaint : Skeletal Class III Anterior cross bite , Maxillary arch constriction
Not interested in Surgical option Crossbite correction. Non-Extraction Treatment time : 1 year and 3months. Corrected with Fixed appliance (braces)
Age : 16 yrs
Complaint : Proclined and Irregular
front teeth, lips incompetent
Treatment time : 1 year 2month
Extraction of all 1st premolars
Corrected with Fixed appliance (braces)
Age : 15 yrs
Complaint : Proclined and Irregular
front teeth with cross bite
Treatment time : 1 year 2months
Extraction of all 1st premolars
Corrected with Fixed appliance (braces)
Age : 23 yrs
Complaint : Proclination of front teeth.
Treatment time : 1 year 4months
All 1st premolars extraction
Corrected with Fixed appliance (braces)
Age : 14 yrs
Complaint : Proclined and irregular
front teeth.
Treatment time : 1 year 2months
All 1st premolars extraction
Corrected with Fixed appliance (braces)
Age : 16 yrs
Complaint : Proclined and irregular
front teeth.
Treatment time : 1 year 2months
All 1st premolars extraction
Corrected with Fixed appliance (braces)
Age : 15 yrs
Complaint : Prpclined and Irregular
front teeth.
Treatment time : 1 year 3month
Extraction of all 1st premolars
Corrected with Fixed appliance (braces)
Age : 14 yrs
Complaint : Proclined and irregular
front teeth.
Treatment time : 1 year 3months
Corrected with Growth modulation + all 1st premolars extraction and fixed appliance (braces)
Age : 23yrs
Complaint : Protrusion of teeth.
Treatment time : 1 year
Case treated with all 1st premolars extraction
Age : 33 yrs
Complaint : Protrusion of teeth, gaps in between teeth and deep bite
Treatment time : 1 year 7 months
All 1st premolars extraction
Corrected with Fixed appliance (braces)
Age : 23
Complaint : Canting of upper arch, Improper edge to edge bite .
Treatment time : 1 year
Treated with extraction of lower single Incisor
Age : 16 yrs
Complaint : Proclined and irregular
front teeth. Retained
decidious
Treatment time : 1 year 3months
All 1st premolars and retained decidious extraction
Corrected with Fixed appliance (braces)
Age : 23 yrs
Complaint : Irregular and proclined front teeth and openbite
Treatment time : 1 year 4months
All 1st premolars extraction
Corrected with Fixed appliance (braces)
Age : 23 yrs
Complaint : Irregular and proclined front teeth.
Treatment time : 1 year 2months
All 1st premolars extraction
Corrected with Fixed appliance (braces)
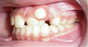
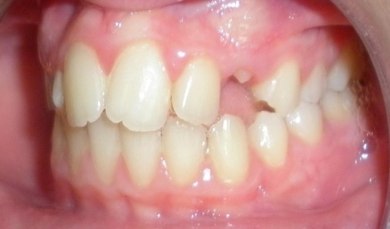
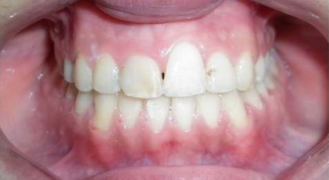
Age : 15
Complaint : Irregular and rotated front teeth.
Radiographs reveal left upper impacted canine which is unfavourable.
Treatment time : 11 months
Alignment done.
Planned for replacement of left upper canine after growth completion.
Age : 15yrs
Complaint : Severly Proclined front upper teeth.
Treatment time : 1 year 5 months
Non Extraction
Corrected with Growth modulation + Fixed appliance (braces)


Age : 15yrs
Complaint : Severly Proclined front upper teeth.


Treatment time : 1 year 5 months
Non Extraction
Corrected with Growth modulation (fixed functional – Forsus) + Fixed appliance (braces)
Age : 17 yrs
Complaint : Irregular front teeth with crossbite
Treatment time : 1 year
Not Interested in extraction
Levelling and Aligning + Crossbite Correction
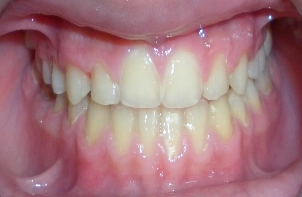
Age : 24 yrs
Complaint : Irregular front teeth
Treatment time : 1 year
Levelling and Aligning
Non Extraction
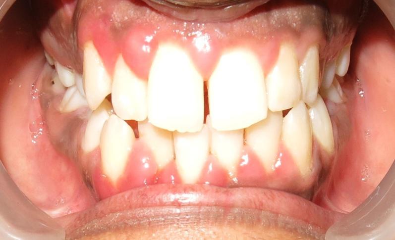
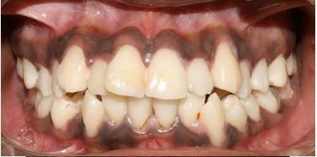
Age : 25 yrs
Complaint : Unable to bite (open bite)
Treatment time : 1 year 6months
posterior intrusion with microimplants and anterior extrusion + proximal stripping
Corrected with Fixed appliance (braces)
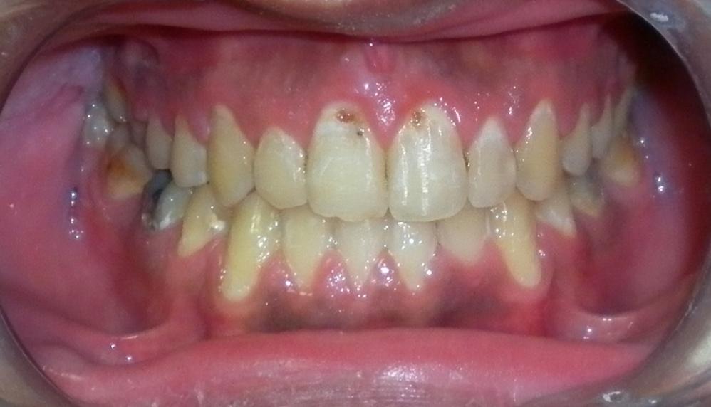
Age : 24 yrs
Complaint : irregular lower teeth.
Treatment time : 1 year
Non extraction – Proximal stripping done.
Corrected with Fixed appliance (braces)